
Gum disease is a bacterial infection affecting the gums and supporting structures of the teeth. Without treatment, it can lead to gum inflammation, bone loss, and eventually tooth loss.


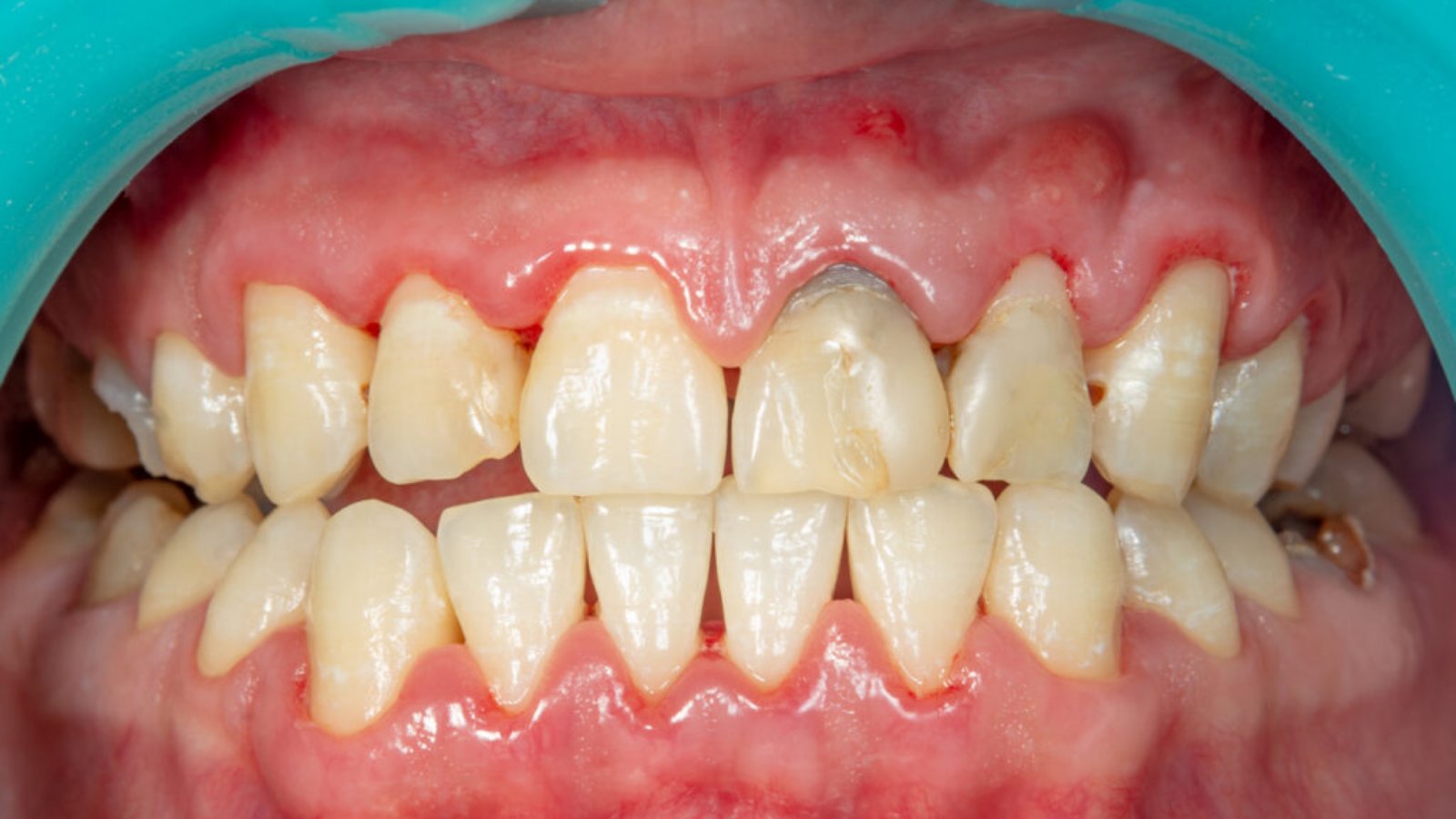
Gum disease often develops gradually and may not cause pain in its early stages. However, several warning signs can indicate a problem with gum health.
Common symptoms include red or swollen gums, bleeding while brushing or flossing, persistent bad breath, gum recession, and loose teeth. If you notice any of these symptoms, visiting a dentist promptly can help prevent further damage.
Treatment for gum disease depends on the stage of the condition. In the early stages, professional dental cleanings and improved home care can help control plaque and restore gum health.
For more advanced cases, specialized periodontal treatments may be recommended to remove bacteria below the gumline and prevent the disease from progressing. Our team will evaluate your condition and recommend the most appropriate treatment plan for your needs..
Healthy gums are essential for maintaining strong teeth and a healthy smile. If you notice bleeding gums or other signs of gum disease, the team at O’Connor Dental Care can help evaluate your gum health and recommend the right treatment.
Patients searching for a dentist for gum disease treatment in North York, Ontario can visit O'Connor Dental Care for professional periodontal care focused on protecting long-term oral health.
