
Dental crowns and bridges are restorative treatments used to repair damaged teeth or replace missing teeth.
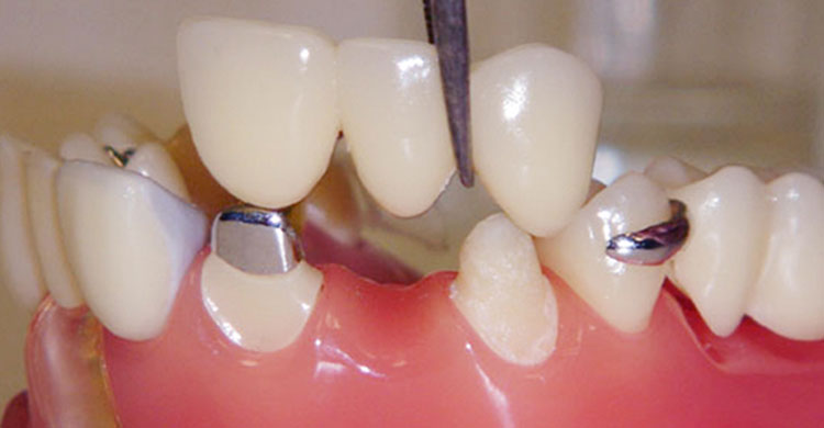
A dental crown is a custom-made cap placed over a weakened or damaged tooth to restore its strength, shape, and appearance. Crowns are commonly recommended after large fillings, cracked teeth, or root canal treatment.
A dental bridge replaces one or more missing teeth by anchoring an artificial tooth to the surrounding natural teeth or crowns. This helps restore proper bite alignment and prevents nearby teeth from shifting.


Dental crowns and bridges are often recommended when teeth are severely damaged, weakened, or missing.
Common situations include:
• Broken or cracked teeth
• Teeth weakened after root canal treatment
• Large cavities that cannot support fillings
• Missing teeth that affect chewing or appearance
Restoring teeth with crowns or bridges can improve both oral health and confidence in your smile.
Dental crowns and bridges provide both functional and cosmetic benefits.
They help restore your ability to chew comfortably, protect weakened teeth from further damage, and improve the appearance of your smile. Modern materials allow crowns and bridges to closely match the color of natural teeth, creating a seamless and natural-looking restoration.
With proper care and regular dental visits, crowns and bridges can last many years while maintaining the health and stability of your smile.
Patients searching for dental crowns and bridges in North York, Ontario can visit O’Connor Dental Care for professional restorative dental treatments designed to protect and restore their smile.
If you have a damaged or missing tooth, O’Connor Dental Care offers personalized treatment to restore your smile with durable and natural-looking dental crowns and bridges.
