
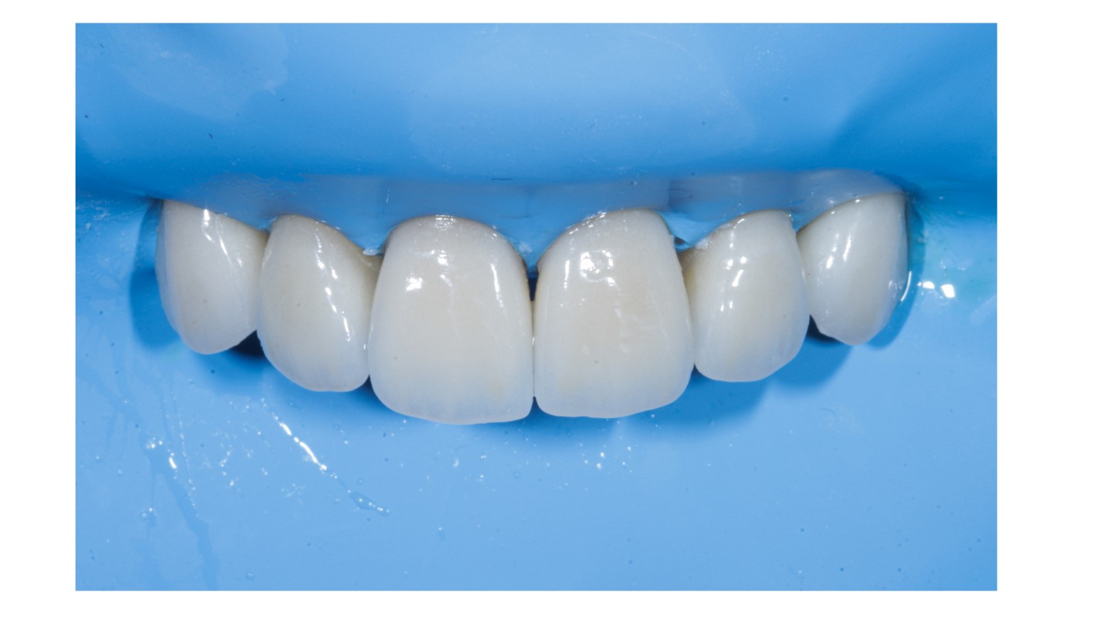
Dental bonding is a cosmetic dental procedure that uses a tooth-colored composite resin to repair or improve the appearance of teeth. The material is carefully applied, shaped, and polished to match the surrounding teeth.
Dental bonding can correct minor imperfections and restore the natural look of your smile quickly and comfortably.


Dental bonding can be used to address several common cosmetic dental concerns. It is often recommended for patients who want to improve the appearance of their teeth without more extensive dental procedures.
Common uses for dental bonding include repairing chipped teeth, closing small gaps between teeth, reshaping uneven teeth, and covering tooth discoloration.
Dental bonding is a popular cosmetic dental treatment because it is quick, minimally invasive, and affordable compared to other cosmetic procedures.
The procedure typically requires little to no removal of tooth structure, and most bonding treatments can be completed in a single visit. The result is a natural-looking improvement to your smile.
During a dental bonding procedure, the dentist prepares the surface of the tooth and applies a tooth-colored resin material. The material is carefully shaped to restore the desired appearance and then hardened using a special curing light.
Once the bonding material is set, the tooth is polished so it blends naturally with the surrounding teeth.
Patients looking for cosmetic dental bonding in North York, Ontario can trust O'Connor Dental Care to restore chipped or damaged teeth with natural-looking results.
If you have chipped, cracked, or uneven teeth, dental bonding may be a simple solution to improve your smile. Contact O'Connor Dental Care today to learn more about cosmetic dental bonding.
